Casos Clínicos
Estética Natural x Estética Pseudo-Perfeita
Existem dois tipos de estética odontológica: a estética pseudo-perfeita (que reconstrói dentes perfeitamente alinhados, simétricos e muito claros) e a estética natural, que busca reproduzir o aspecto natural e sutilmente irregular dos dentes, nas pequeninas e quase imperceptíveis imperfeições naturais.
Estética pseudo-perfeita pode ser perigosa, pois passa a idéia de artificialidade e de trabalhos realizados por dentistas. Meu objetivo é melhorar ou criar estética com muita naturalidade, tornando o sorriso mais belo e luminoso, sem aspecto artificial, comum em várias reabilitações dentárias.
Confira abaixo, as diversas modalidades de situações clínicas.

Caso 1: Dentes longos, estreitos e projetados, caninos proeminentes e curvatura do sorriso côncava.


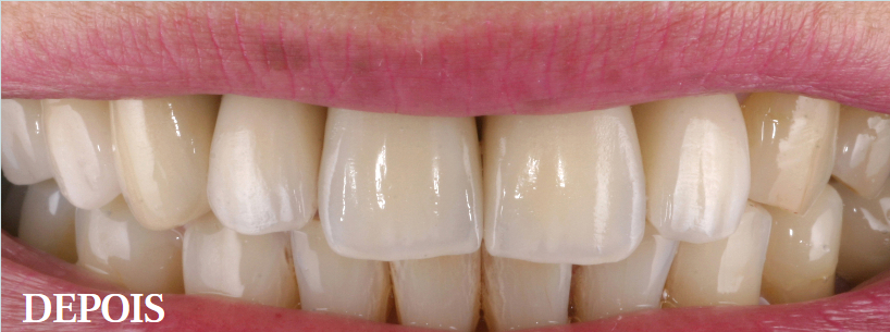
Caso 2: Três coroas cerâmicas e duas coroas sobre implantes.


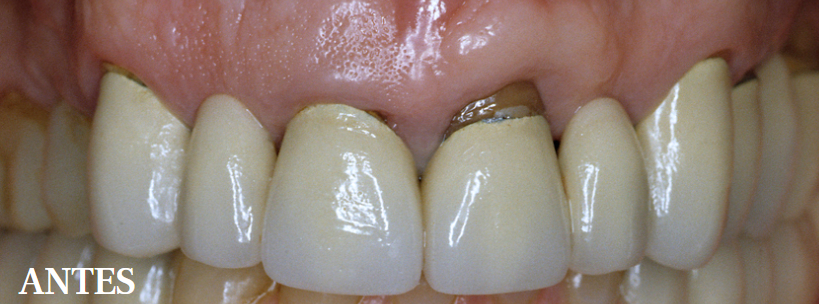
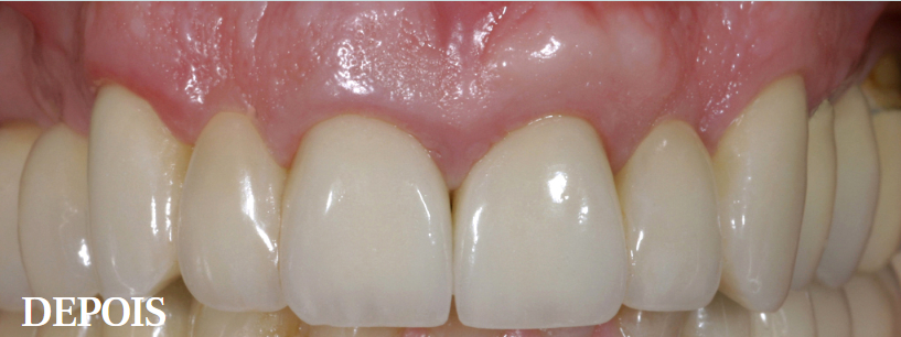
Caso 3: Envolvimento periodontal com raízes expostas e ausência dos 2 incisivos laterais. Novas próteses fixas.



